Guida Dettagliata alla Procedura degli Impianti Dentali
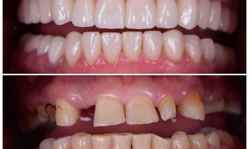
Implantologia / Protesi Dentarie Guida Dettagliata alla Procedura degli Impianti Dentali! Se hai perso un dente a causa di un incidente, trauma da corpo contundente o a seguito di un’estrazione dentale, magari perché non poteva essere salvato con una terapia canalare o è stato danneggiato in modo irreparabile, c’è comunque una soluzione per ripristinare…
