Ortodonzia Milano / Impianti Dentali
Qual è la soluzione ottimale per correggere i denti affollati a Milano!
Se stai affrontando il problema dei denti affollati a Milano, hai a disposizione diverse opzioni di trattamento mirate a soddisfare le tue esigenze. Dall’impiego di apparecchi ortodontici, tradizionali o invisibili, alle strategie che contemplano estrazioni e l’utilizzo di apparecchi di contenzione, puoi trasformare il tuo sorriso e rinnovare la tua fiducia. Una migliore disposizione dei denti non solo migliora l’estetica del tuo sorriso, ma può anche ridurre sensibilmente il dolore dentale e semplificare la gestione quotidiana dell’igiene orale. In questo contesto, esploreremo alcune delle soluzioni più efficaci per trattare il problema dei denti affollati a Milano. Senza ulteriori indugi, scopriamo insieme quali sono i migliori trattamenti disponibili per ottenere un sorriso perfettamente allineato.
Apparecchio Ortodontico: Una Scelta Classica per Correggere i Denti Affollati
L’apparecchio ortodontico rappresenta una soluzione tradizionale e altamente efficace per trattare l’affollamento dentale. Questo dispositivo può gradualmente spostare i denti nel corso del tempo, creando lo spazio necessario all’interno della bocca. Quando combinato con altri trattamenti ortodontici, come divaricatori del palato ed estrazioni dentali, gli apparecchi ortodontici sono in grado di trasformare completamente il tuo sorriso. Sebbene il processo possa richiedere più tempo rispetto ad alcune opzioni più veloci, come vedremo in seguito, rappresenta un approccio sicuro e affidabile per migliorare la spaziatura dei denti. L’apparecchio ortodontico offre risultati duraturi, consentendo di ripristinare il tuo sorriso e di ottenere lo spazio desiderato tra i denti.
Apparecchio Invisibile: Una Soluzione Raffinata per la Correzione dei Denti
Gli apparecchi invisibili condividono con quelli tradizionali la capacità di spostare gradualmente i denti nel tempo. Tuttavia, a differenza degli apparecchi convenzionali, gli apparecchi invisibili offrono un’esperienza di trattamento senza fili, attacchi o cemento, risultando notevolmente più agevoli da pulire. La caratteristica distintiva di questi dispositivi, come suggerisce il nome, risiede nella loro quasi totale invisibilità, agendo in modo simile a un apparecchio di contenzione che si adatta armoniosamente sui denti. Servizi Invisalign per denti affollati.
Benché non sia possibile consumare cibi mentre si indossa l’apparecchio invisibile, è necessario utilizzarlo quotidianamente per ottenere una graduale trasformazione del tuo sorriso. È opportuno notare che, nonostante la loro efficacia, gli apparecchi invisibili potrebbero non essere la scelta ideale per tutti i pazienti, specialmente in caso di problematiche ortodontiche più complesse, che richiedono l’impiego di apparecchi tradizionali o altre forme di ortodonzia. Rivolgiti al tuo dentista per una valutazione personalizzata e scopri se gli apparecchi invisibili sono la soluzione adatta alle tue esigenze ortodontiche.
Estrazioni Dentarie: Un Passo Avanti per Risolvere l’Affollamento Dentale
Nel caso di affollamento dentale estremo, potrebbe essere necessario procedere con l’estrazione di alcuni denti al fine di creare lo spazio necessario in bocca. La buona notizia è che il tuo team dentistico si impegnerà per rendere ogni procedura di estrazione il più indolore possibile e ti fornirà dettagliate istruzioni di recupero per agevolare un recupero senza intoppi.
Importante ricordare che le estrazioni rappresentano spesso il primo passo in un piano di trattamento per l’affollamento dentale. Successivamente, potrebbe essere necessario utilizzare apparecchi ortodontici o dispositivi di contenzione invisibili per spostare i denti nei nuovi spazi creati dopo l’estrazione. Affrontare l’affollamento dentale attraverso un approccio integrato e professionale assicurerà un sorriso più armonioso e una salute dentale ottimale.
Dispositivi di Contenzione per Affrontare l’Affollamento Dentale
Nei casi di affollamento dentale lieve o in situazioni in cui si manifesta dopo un precedente trattamento ortodontico, potrebbe risultare sufficiente l’utilizzo di dispositivi o apparecchi di contenzione per ricollocare i denti nella loro posizione originaria. I fermi, disponibili in varie forme tra cui quelli a filo e invisibili, svolgono un ruolo cruciale nel mantenere i denti in posizione, prevenendo eventuali spostamenti nel corso del tempo e favorendo la corretta separazione tra di essi.
È importante notare che, sebbene i fermi rappresentino un’opzione efficace, in situazioni di distanziamento eccessivo, potrebbe rendersi necessario un intervento più incisivo da parte del dentista per affrontare in modo completo il problema del sovraffollamento. La scelta del dispositivo di contenzione più adatto sarà determinata da una valutazione professionale accurata, garantendo un approccio personalizzato e mirato al mantenimento di un sorriso armonioso e ben posizionato nel tempo.
Quali sono le Cause dei Denti Affollati?
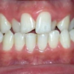
L’affollamento dentale può manifestarsi in diverse forme: lieve, moderata o grave. Nella forma lieve, uno dei denti anteriori della mascella superiore o inferiore potrebbe essere leggermente ruotato. La forma moderata si presenta quando due o tre denti superiori o inferiori si sovrappongono, mentre il grave affollamento coinvolge la sovrapposizione di gran parte dei denti superiori e inferiori. Questa condizione può causare problemi dentali e comprendere appieno il problema è essenziale per affrontarlo in modo efficace.
Le cause dell’affollamento dentale possono essere attribuite a diversi fattori:
- Dimensioni dei Denti: Se i denti sono più grandi del normale o eccessivamente grandi rispetto alle dimensioni della mascella, potrebbero ruotare o torcersi. Questo aspetto è spesso legato a una predisposizione genetica ereditaria.
- Dimensioni della Mascella: La genetica può anche influenzare la grandezza della mascella, e alcune persone nascono con mascelle più piccole. Anche se i denti non sono sovradimensionati, la mascella potrebbe non essere sufficientemente ampia per ospitare tutti i denti adulti, causando affollamento.
- Perdita Precoce di Denti Decidui: Se un dente deciduo viene perso prematuramente, altri denti possono occupare lo spazio, lasciando insufficiente spazio per il dente permanente in crescita.
- Persistenza dei Denti Decidui: Se i denti decidui resistono troppo a lungo, ostacolano la crescita corretta dei denti permanenti. L’estrazione tempestiva da parte del dentista è fondamentale, ma se trascurata, può portare a un affollamento quando i denti permanenti emergono.
Come posso saperne di più sui rimedi per correggere Affollamento dei denti?

Se sei preoccupato per i tuoi denti affollati a Milano, contatta il nostro team di studio odontoiatrico Codegoni al numero Tel. +39 02 5453402 o richiedi un appuntamento qui. Offriamo cure dentistiche professionali per molti problemi dentali e saremo lieti di rispondere a qualsiasi domanda.
Dall’affollamento dentale alle cure dentistiche generali, offriamo alcune delle migliori cure dentistiche a Milano. Speriamo di vedervi presto nel nostro studio per organizzare una Visita gratuita. Codice deontologico, non aspettare chiama ora.
